Το κτηνιατρικό video-ενδοσκόπιο AOHUA VET-6010 είναι συμβατό με δύο συστήματα φωτεινής πηγής LED – κάμερας κι επεξεργασίας video της εταιρίας, τα AOHUA VET-OR 1200 HD και AOHUA VET-OR 1200 HDR (High Definition Video processor combo with LED light source).
To πρώτο σύστημα (AOHUA VET–OR 1200 HD) είναι κατάλληλο για χρήση με όλα τα εύκαμπτα ενδοσκόπια ενώ το δεύτερο σύστημα (AOHUA VET–OR 1200 HDR) θα επιλεγεί από το χρήστη που διαθέτει ή σκοπεύει κάποια στιγμή μελλοντικά να προμηθευτεί και σετ με άκαμπτα ενδοσκόπια.
Τεχνικά χαρακτηριστικά της μονάδας Video Processor VET–OR 1200 HD και HDR
To «όλα-σε ένα» σύστημα AOHUA VET–OR 1200 HD (και HDR) είναι τρεις (3) συσκευές σε μία: Camera, φωτεινή πηγή LED, καταγραφέας – ψηφιακός επεξεργαστής εικόνας και αντλία εμφύσησης νερού και αέρα.
Ο κλινικός έχει τη δυνατότητα να προσαρμόσει (ενσωματώσει) επάνω του, οποιοδήποτε εξάρτημα απαραίτητο για ενδοσκοπική απεικόνιση, καθώς είναι απολύτως συμβατό με όλους τους τύπους ενδοσκοπίων, όπως βιντεο-ενδοσκόπια (video-endoscopes), άκαμπτα (rigid telescopes), ενδοσκόπια οπτικών ινών της παλαιότερης γενιάς (endoscopes) αλλά κι εξωτερικά ενδοσκόπια (exoscopes) όπως ωτοσκόπια κλπ.
Πρωτοποριακή συσκευή με ισχυρό επεξεργαστή και μεγάλη δυνατότητα αποθήκευσης και ψηφιακής επεξεργασίας εικόνων, δίνοντας στον κλινικό καθαρή, σαφή διαγνωστική εικόνα κατά τη διάρκεια της ενδοσκόπησης. Οι εικόνες αποθηκεύονται σε μνήμη USB.
Πρόκειται για συσκευή monoblock, στη μία πλευρά της οποίας συνδέεται το ενδοσκόπιο (στην έξοδο video) και στην άλλη το monitor στο οποίο θα εμφανίζεται η εικόνα.
Η συσκευή AOHUA VET–OR 1200 HD(R) έχει ένα σύνολο λειτουργιών: παρέχει ρεύμα και φως στο ενδοσκόπιο βίντεο, εμφυσά αέρα ή νερό όπου απαιτείται, παρέχει ενδοσκοπικές εικόνες και video με τη διαδικασία της ενδοσκόπησης τα οποία ο χρήστης μπορεί αρχικά να αποθηκεύσει σε μνήμη USB και κατόπιν να επεξεργαστεί με εξειδικευμένο λογισμικό.
Ο video επεξεργαστής μετατρέπει το ληφθέν σήμα σε ψηφιακή μορφή κι αυτομάτως διορθώνει την εικόνα ώστε να επιτυγχάνεται η μέγιστη απόδοση.
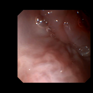
Λαμβάνονται και παρέχονται εικόνες υψηλής ευκρίνειας κι εμφανίζονται ιδιαίτερα σημαντικές λεπτομέρειες, ακόμα και οι πλέον δυσδιάκριτες.
Μεγάλο πλεονέκτημα της συσκευής είναι η λειτουργία HbE (Hemoglobin Enhancement)
με την οποία ενισχύεται (βελτιστοποιείται) η απεικόνιση της ροής του αίματος κι εντείνονται οι αιμορραγικές αλλοιώσεις (π.χ. έλκη, υπεραιμία του στομάχου, κ.ά.) στην υπό μελέτη περιοχή.

Χάρη στη λειτουργία “White Balance” o χρήστης μπορεί να ρυθμίσει την ισορροπία λευκού στην εικόνα, βελτιώνοντας σημαντικά την ποιότητά της.
Η ενσωματωμένη φωτεινή πηγή στο εσωτερικό της είναι μια λυχνία LED. Μια ισχυρή φωτεινή ροή, φωτίζει ομοιόμορφα την υπό μελέτη περιοχή. Ως φωτισμός LED, έχει μεγάλη διάρκεια ζωής και χαμηλή κατανάλωση ενέργειας.
Ο video επεξεργαστής στέλνει video από τη διαδικασία ενδοσκόπησης και ενδοσκοπικές εικόνες σε μια κάρτα USB, όπου μπορούν να αποθηκευτούν.
Η συσκευή έχει δυνατότητα σύνδεσης με σταθερό ή φορητό υπολογιστή (PC ή laptop).
Από το καλοκαίρι του 2019, η συσκευή φέρει τη νέα πλατφόρμα επεξεργασίας Motus 3.0 η οποία έχει περισσότερη από 10 φορές ισχυρότερη υπολογιστική ισχύ, 5 φορές μεγαλύτερο εύρος και 8 φορές μεγαλύτερη χωρητικότητα μνήμης. Όλα αυτά καθιστούν δυνατή την ευκολότερη επεξεργασία δεδομένων εικόνας (όπως CBI , HbE, κ.λ.π.) σε πραγματικό χρόνο, με υψηλότερη ανάλυση και περισσότερη υπολογιστική ισχύ.
Οι παρεχόμενες εικόνες είναι υψηλής ανάλυσης κι ευκρίνειας (High Definition).
Έτσι, ο χρήστης μπορεί να πλέον διακρίνει από πολύ λεπτές ως ανεπαίσθητες αλλαγές και αλλοιώσεις, εξαιρετικά δυσδιάκριτες ως παντελώς αδιάκριτες με τις παλαιότερης τεχνολογίας συσκευές SD (Standard Definition).
Με τον αισθητήρα CMOS (Complementary Metal-Oxide-Semiconductor) παροχής ενδοσκοπικών εικόνων υψηλής ευκρίνειας και ανάλυσης (1280 x 720 HD output, high-resolution image optimization) και την εισαγωγή τεχνολογίας ψηφιακής επεξεργασίας εικόνας που διαθέτει, η συσκευή μπορεί να προστατεύσει το πραγματικό ενδοσκοπικό χρώμα χωρίς αυτό να υποστεί καμία αλλοίωση και να παράσχει εικόνες με την πιο υψηλή ποιότητα.
Στην αρχική συσκευασία του επεξεργαστή περιλαμβάνονται και τα εξής αξεσουάρ:
-Μετατροπέας – Καλώδιο Υ/C (S-video) – Κάλυμμα White Balance
-5 Ασφάλειες – Δισκέττα Προγράμματος – Καλώδιο USB (σύνδεση με PC) -‘Εντυπο οδηγιών
Η εταιρία
Η εταιρία AOHUA ιδρύθηκε το 1994 και σήμερα πουλάει τα προϊόντα της σε περισσότερες από 80 χώρες και τα προϊόντα της χρησιμοποιούνται σε περισσότερα από 10000 νοσοκομεία σε όλο τον κόσμο. Η AOHUA προσφέρει ολοκληρωμένες ενδοσκοπικές λύσεις μέσα από μία πλήρη σειρά προϊόντων που περιλαμβάνουν εύκαμπτα ενδοσκόπια, άκαμπτα ενδοσκόπια, αναλώσιμα και αξεσουάρ ενδοσκόπησης.
Βασικό τεχνικό χαρακτηριστικό των ενδοσκοπίων AOHUA είναι η τεχνολογία “Laser Image Transmission” όπου η μετάδοση των εικόνων γίνεται με «τεχνολογία laser» χάρη στην οποία επιτυγχάνονται σειρά από μοναδικά χαρακτηριστικά όπως:
(Υψηλή ασφάλεια): Η τεχνολογία «Laser Image Transmission» θεωρείται πλέον ο καλύτερος τρόπος μετάδοσης, με σφάλμα μικρότερο από ένα bit / τρισεκατομμύριο (technology with a bit error rate of less than one trillion).
(Υψηλή ικανότητα αντι-παρεμβολής): Εφαρμόζοντας την τεχνολογία «Laser Image Transmission» έχουμε δραστική μείωση των παρεμβολών από άλλες συσκευές που μπορεί να λειτουργούν ταυτόχρονα στον ίδιο χώρο με το ενδοσκόπιο, όπως π.χ. συσκευές ηλεκτροτομής υψηλής συχνότητας (χειρουργικές διαθερμίες).
(Υψηλός ρυθμός μετάδοσης): Η μετάδοση εικόνων με τεχνολογία laser μπορεί να επιτύχει ρυθμό μετάδοσης ως και 8GB / δευτερόλεπτο.
Τεχνικά Χαρακτηριστικά
Το όργανο είναι πλήρως στεγανοποιημένο (Full air-tightness). Η διάμετρος του απομακρυσμένου άκρου (Diameter of distal end) είναι 7,9 mm ενώ αυτή του σωλήνα εισαγωγής (Diameter of insertion tube) είναι 8.0mm To κανάλι εργασίας έχει διάμετρο 2,8mm (Diameter of instrument channel) και άρα μπορεί να πάρει και αξεσουάρ διαμέτρου 2,4mm Το πλήρες μήκος του ενδοσκοπίου είναι 182,5 εκατοστά ενώ το ωφέλιμο μήκος εργασίας είναι 150 εκατοστά.
Στην αρχική συσκευασία του ενδοσκοπίου περιλαμβάνονται και τα εξής αξεσουάρ:
➢ Βαλιτσάκι και κάλυμμα ασφαλούς μεταφοράς
➢ Σετ καθαρισμού
➢ Σύστημα ελέγχου στεγανότητας
➢ Βαλβίδα καθαρισμού (παροχής αέρα / νερού και αναρρόφησης)
➢ Γυάλινο δοχείο συγκέντρωσης κι απομάκρυνσης των υγρών της ενδοσκόπησης (Irrigation Bottle)
➢ Καλώδιο σύνδεσης του ενδοσκοπίου στην κάμερα
➢ Έντυπο οδηγιών χρήσης
Κτηνιατρικά ενδοσκοπικά αξεσουάρ

Διατίθεται πλήρης σειρά αξεσουάρ ενδοσκόπησης για βιοψία, εξαγωγή ξένων σωμάτων, πολυπεκτομή και καθαρισμό.

Λαβίδα βιοψίας επαναχρησιμοποιούμενη, εύκαμπτη, με στρογγυλές, κοίλες σιαγόνες διπλής ενέργειας, διατρητική, αγκιστρο-ειδής, με ακίδες Διάμετρος 1,8mm με ωφέλιμο μήκος εργασίας 230 cm ή 2,4mm με μήκος 400cm.

Λαβίδα κροκοδείλου, εξαγωγής ξένων σωμάτων, επαναχρησιμοποιούμενη, εύκαμπτη, με στρογγυλά άκρα, Διάμετρος 1,8 mm και ωφέλιμο μήκος εργασίας 210 cm

Λαβίδα Pelican εξαγωγής ξένων σωμάτων, επαναχρησιμοποιούμενη, εύκαμπτη, με στρογγυλά άκρα. Λαβίδα συμπληρωματική της προηγούμενης και χρησιμοποιείται για την εξαγωγή μεγαλύτερων σε μέγεθος ξένων σωμάτων από αυτά που λαμβάνονται από τη λαβίδα κροκοδείλου. Διάμετρος 1,8 ή 2,1 mm και ωφέλιμο μήκος εργασίας 210 cm

Bούρτσα βιοψίας με μεγάλη γωνία επάλειψης, επαρκής δειγματοληψία και υψηλός αριθμός θετικών δειγμάτων. Σχεδιασμός με στρογγυλεμένη κεφαλή για αποφυγή ζημιών Η κεφαλή της βούρτσας με ίσιο σχήμα είναι λεία και στρογγυλή, προστατεύει αποτελεσματικά τους ιστούςαλλά και το κανάλι ενδοσκοπίου Διάμετρος 1,8 μμ και ωφέλιμο μήκος εργασίας 210 cm

Λαβίδα – καλάθι Εξαιρετική απόδοση, με λιγότερη ζημιά. Οι ιστοί δεν θα γδαρθούν κατά την αφαίρεση ασβεστώσεων και συσσωματώσεων. Λειτουργία σύρματος οδηγού για πιο βολική χειρουργική επέμβαση Διάμετρος 1,8 mm και ωφέλιμο μήκος εργασίας 210 cm

Ηλεκτροχειρουργική Θηλιά Ομοιόμορφη ηλεκτρική αγωγιμότητα, εξαιρετική απόδοση. Είναι κατασκευασμένο από ειδικό ιατρικό σύρμα ανοξείδωτου χάλυβα υψηλής χρήσης. Διάμετρος 1,8 mm και ωφέλιμο μήκος εργασίας 210 cm

Διατίθεται και πλήρης σειρά Stent : Esophageal Stent , Tracheal and Bronchial Stent, Intestinal Canal Stent , Individual Stent
Τροχήλατο σταντ
Τροχήλατο σταντ AOHUA VET Trolley 01 Mobile Videocart
κατάλληλο να μεταφέρει όλο το προσφερόμενο σετ ενδοσκόπησης. Το σταντ στηρίζεται σε 4 αντιστατικές διπλές ρόδες, διαμέτρου 12,5 εκατοστών που φέρουν φρένο κι έχει μία κεντρική δοκό στήριξης. Διαθέτει σταθερό ράφι για την τοποθέτηση του συστήματος κάμερας – φωτεινής πηγής LED κι επεξεργασίας video της εταιρίας [AOHUA VET-OR 1200 HD και AOHUA VET-OR 1200 HDR (High Definition Video processor combo with LED light source)].
Σημείωση: Στην εικόνα φαίνονται και προϊόντα AOHUA τα οποία δεν περιλαμβάνονται στην προσφορά (π.χ. το σύστημα AIDA για την αποθήκευση και διαχείριση εικόνων ενδοσκόπησης). Το σταντ δε συνοδεύεται από κανένα από τα αντικείμενα που φέρει, πλέον αυτών που αναφέρονται σαφώς στην περιγραφή του.
Αξιολογήσεις
Δεν υπάρχει καμία αξιολόγηση ακόμη.